

Art Dental House je savremena stomatološka ordinacija u Beogradu koja pruža širok spektar stomatoloških usluga namenjenih pacijentima svih uzrasta. Naš tim čine iskusni stomatolozi koji se bave opštom stomatologijom, estetskim tretmanima, implantologijom, protetikom, ortodoncijom i dečijom stomatologijom. Fokus našeg rada je kvalitetna i bezbolna stomatološka terapija, uz individualan pristup svakom pacijentu. U ordinaciji Art Dental House koristimo savremenu dijagnostiku i moderne metode lečenja kako bismo obezbedili vrhunske rezultate i dugoročno zdravlje zuba. Pacijenti iz različitih delova Beograda prepoznaju nas kao pouzdanu stomatološku ordinaciju koja pruža sigurnu i profesionalnu uslugu.
Stomatološka ordinacija Karaburma – Art Dental House predstavlja odličan izbor za sve koji traže pouzdanu i stručnu stomatološku negu. Naš tim ima višegodišnje iskustvo u radu sa pacijentima i posvećen je pružanju vrhunskog kvaliteta usluge. Posebnu pažnju posvećujemo komforu pacijenata i nastojimo da svaki tretman bude što prijatniji i bezbolniji. Koristimo savremenu opremu i kvalitetne materijale kako bismo obezbedili dugotrajne rezultate. Pored toga, naš pristup je usmeren na detaljnu dijagnostiku i individualni plan terapije, jer verujemo da svaki pacijent zaslužuje rešenje prilagođeno njegovim potrebama.
Stomatološka ordinacija Karaburma – Art Dental House pruža stomatološke usluge pacijentima iz svih delova Karaburme. Naši pacijenti dolaze iz različitih delova ovog dela grada, uključujući Karaburmu I, Karaburmu II, Višnjičku Banju, Višnjicu i Rospi Ćupriju. Ordinacija je dostupna i pacijentima iz naselja poput Bogoslovije, Ćalija, Hadžipopovca i centra Palilule, koji se takođe nalaze u neposrednoj blizini Karaburme.
Veliki broj pacijenata dolazi i iz delova Karaburme koji se nalaze duž važnih saobraćajnica kao što su Višnjička ulica, Mirijevski bulevar, Ulica Mije Kovačevića, Ulica Marijane Gregoran i Slanački put. Ove ulice povezuju veliki broj stambenih i poslovnih zona, pa su upravo stanovnici tih delova grada česti pacijenti naše ordinacije.
Stomatološka ordinacija Karaburma – Art Dental House je dostupna i pacijentima koji žive u blizini značajnih gradskih lokacija kao što su Bogoslovija, Pančevački most, Ada Huja i okolni delovi Dunavskog keja. Zahvaljujući dobroj povezanosti saobraćajnica i blizini centralnih gradskih zona, pacijenti iz različitih delova Karaburme mogu brzo i jednostavno doći do naše ordinacije. Naš cilj je da stomatološke usluge budu dostupne svim stanovnicima Karaburme i okolnih naselja, bez obzira na to da li dolaze iz urbanih delova poput Višnjičke banje i Bogoslovije ili iz mirnijih delova poput Višnjice i Rospi Ćuprije.
U stomatološkoj ordinaciji Art Dental House trudimo se da ponudimo kvalitetne stomatološke usluge po fer i transparentnim cenama. Verujemo da kvalitetna stomatološka nega treba da bude dostupna što većem broju pacijenata, zbog čega nastojimo da održimo optimalan odnos između cene i kvaliteta usluge. Pacijenti uvek dobijaju jasne informacije o planu terapije i troškovima pre početka lečenja, kako bi mogli da donesu informisanu odluku. Naš cilj je da pacijentima obezbedimo vrhunsku stomatološku uslugu bez skrivenih troškova i uz maksimalnu profesionalnost.
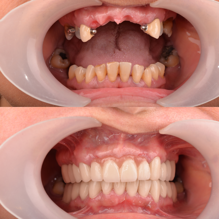
Stomatološka ordinacija Karaburma – Art Dental House predstavlja odličan izbor za sve koji žele kvalitetnu i pouzdanu stomatološku negu. Naš tim stručnjaka posvećen je očuvanju zdravlja zuba i desni kroz savremene terapijske metode i individualni pristup svakom pacijentu. Pacijenti kod nas mogu dobiti kompletnu stomatološku uslugu na jednom mestu, od preventivnih pregleda i estetskih tretmana do kompleksnijih procedura poput implantologije i protetike.
Prednost naše ordinacije je i posvećenost edukaciji pacijenata o važnosti oralnog zdravlja. Redovni pregledi, pravilna higijena i pravovremeno lečenje problema mogu značajno doprineti očuvanju zdravog i lepog osmeha. Upravo zato se trudimo da svakom pacijentu pružimo ne samo kvalitetnu terapiju, već i korisne savete koji će mu pomoći da dugoročno sačuva zdravlje svojih zuba.

Bezbolne intervencije u opuštenoj atmosferi
Art Dental House ordinacije
Kontaktirajte nas i uverite se da poseta zubaru može biti prijatna.
…