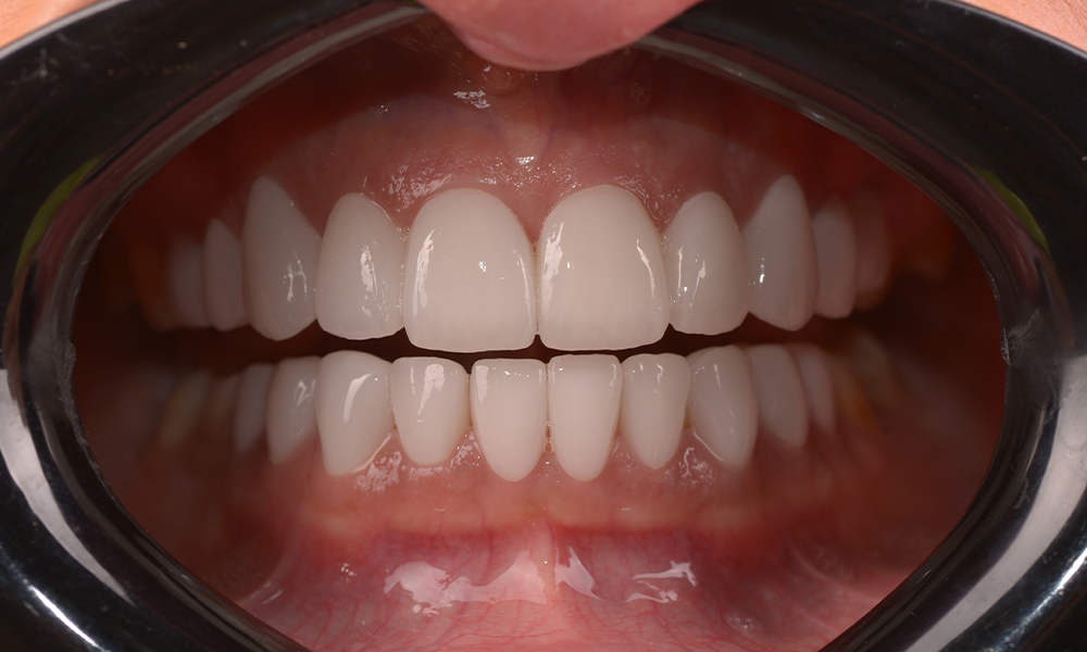
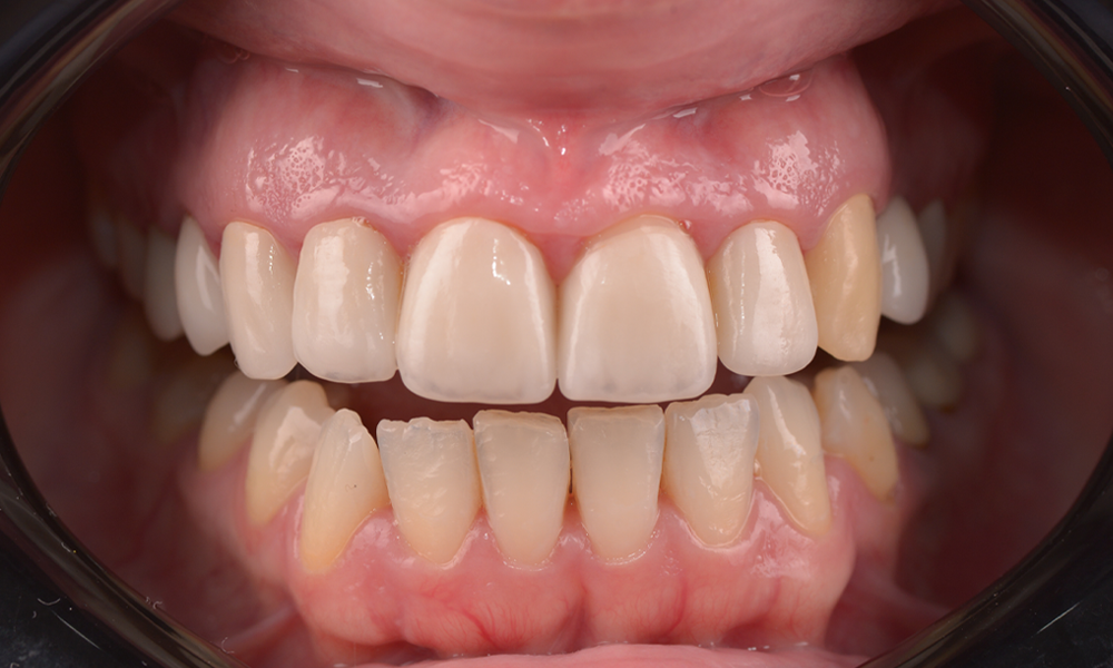
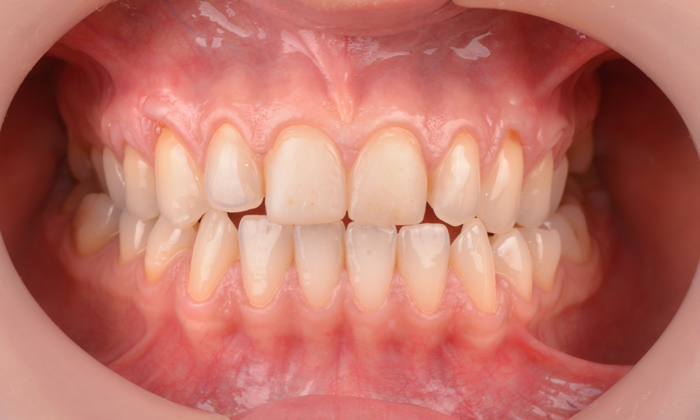
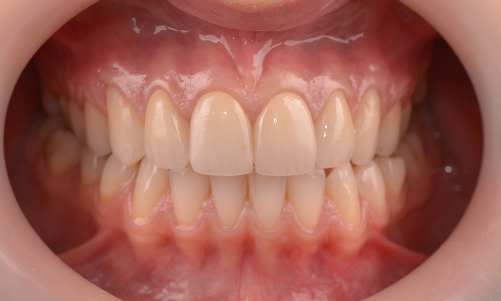
Sveobuhvatna nega zuba kako bi vaš osmeh ostao zdrav i blistav.
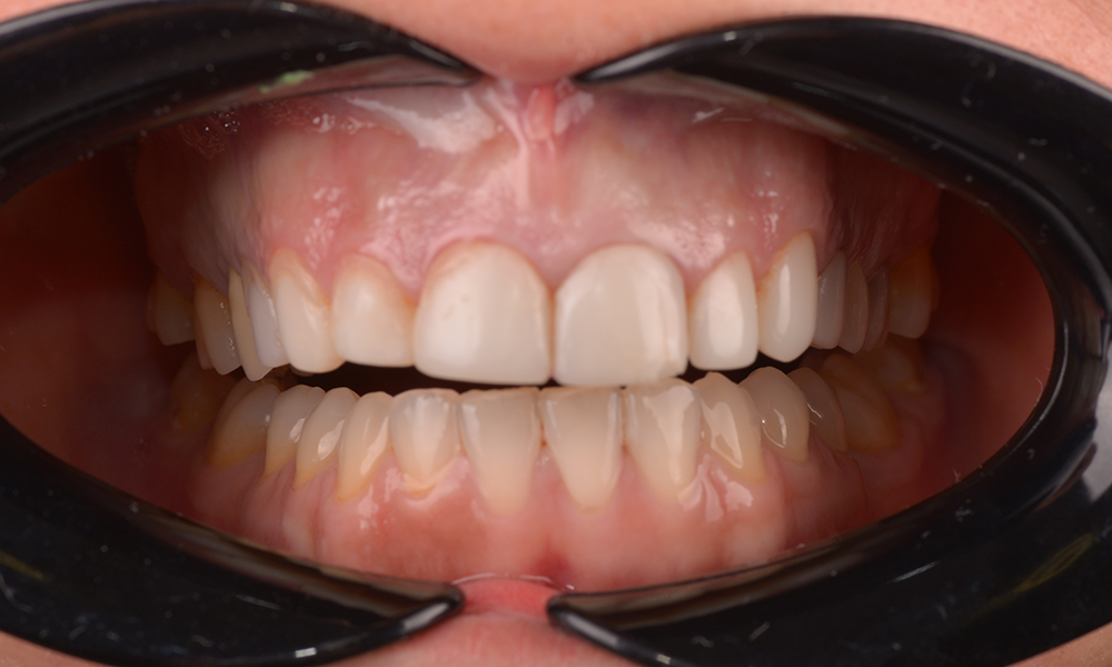
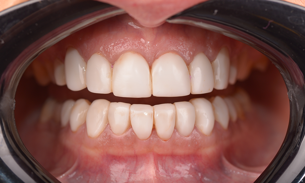
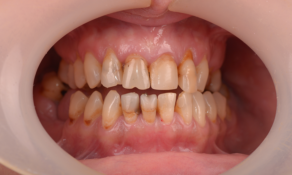
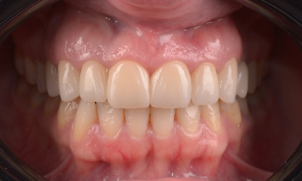
U stomatološkoj ordinaciji Art Dental House posvećeni smo pružanju vrhunske stomatološke usluge u skladu sa savremenim svetskim standardima. Naš tim specijalista oralne hirurgije, implantologije, ortopedije vilica i protetike koristi najmoderniju dijagnostičku opremu i proverene metode lečenja kako bi svakom pacijentu obezbedio sigurno, efikasno i dugotrajno rešenje.
✔ Kvalitetnu stomatološku uslugu po savremenim svetskim standardima
✔ Naša specijalnost su kompleksne Oralno – hirurške, Implantološke, Protetške i Ortodontske indikacije
✔ Sve usluge na jednom mestu
✔ Stomatološke usluge obavljaju specijalisti Oralne hirurgije, Implantologije, Ortopedije vilica i Protetike
✔ 3D snimak vaših zuba
✔ Ortopan snimak
✔ Ostale rentgenološke dijagnostičke procedure
✔ Pacijentove potrebe su uvek prioritet uz pridržavanje i poštovanje pravila struke
✔ Obezbeđeno parking mesto za pacijente








Bezbolne intervencije u opuštenoj atmosferi
Art Dental House ordinacije
Kontaktirajte nas i uverite se da poseta zubaru može biti prijatna.